Protetyka
Protetyka stomatologiczna
„Dajcie mi punkt podparcia, a poruszę Ziemię”
Archimedes z Syrakuz (ok. 287–212 p.n.e.) grecki filozof przyrody i matematykTak można dziś określić nowoczesną, bardzo specjalistyczną i zaawansowaną protetykę i implantoprotetykę stomatologiczną. Możliwości i wachlarz rozwiązań protetycznych, jakimi dysponuje dziś lekarz specjalista protetyk, który potrafi połączyć osiągnięcia technologiczne XXI wieku z biomechaniką i indywidualnym podejściem do danego problemu, daje ogromną szansę przywrócenia pacjentowi zdrowego, pięknego i funkcjonalnego uśmiechu… nawet w bardzo trudnej sytuacji klinicznej.
Pacjenci często zgłaszają się do nas z prośbą o usunięcie „zniszczonych i brzydkich zębów”, jednak po szczegółowym badaniu stomatologicznym, analizie zdjęć RTG, analizie modeli diagnostycznych, badaniu stawów skroniowo-żuchwowych i konkretnym zaplanowaniu leczenia uzyskujemy efekty, które są powodem do dumy zarówno pacjenta jak i moim.
Zasada jest prosta – WŁASNY ZĄB TO NAJLEPSZY Z IMPLANTÓW
Czasem jednak stopień zniszczenia zęba jest tak duży, że inwestowanie w jego leczenie jest bezcelowe i trzeba go usunąć. To jest czas na popis protetyczny i pełną rehabilitację układu narządu żucia. Czas tworzenia, wzruszeń, fascynacji i pobudzenia naszej wyobraźni.
Mając podparcie jestem w stanie zrobić wszystko
Najlepsze efekty funkcjonalne i estetyczne możemy osiągnąć przy zastosowaniu tzw. prac stałych, czyli nieruchomych koron i mostów porcelanowych. Są to rozwiązania, które są na stałe w ustach, myjemy je jak własne i nie możemy ich sami usunąć z ust… maksymalny komfort i pewność siebie!!!
Porcelana może być napalona na metalu lub na dużo bardziej kosmetycznej podbudowie cyrkonowej. Prace wykonujemy metodą tzw. frezowania przy zastosowaniu zaawansowanej aparatury komputerowej, co daje nam możliwości uzyskania niewyobrażalnej wręcz precyzji i szczelności brzeżnej. Takie prace stosujemy na zębach własnych lub na implantach.
Korony pełnoceramiczne w systemie LAVA
Korona porcelanowana na podbudowie metalowej nie przepuszcza światła
Korona pełnoceramiczna przepuszcza światło jak ząb naturalny
Korona porcelanowa na metalu (po lewej) i korona porcelanowa na podbudowie cyrkonowej (bezmetalowa; po prawej)
Most pełnoceramiczny i „gra światła” jak w zębie naturalnym
Centrum projektowania i frezowania komputerowego koron i mostów porcelanowych
Jeśli zębów własnych jest zbyt mało możemy uzupełnić ich brak implantami lub zastosować rozwiązania kombinowane, czyli korony, mosty stałe razem z protezami ruchomymi i precyzyjnymi elementami retencyjnymi (zatrzaski, zasuwy, belki, magnesy, lokatory, rygle, korony teleskopowe), których zadaniem jest połączyć w całość oba uzupełnienia.
Zapraszam na konsultację i ocenę możliwości terapeutycznych… nowoczesna protetyka i implantoprotetyka jest w Twoim zasięgu. Piękny uśmiech czeka na Ciebie!!! Kompleksowe leczenie w krótkim czasie pozwoli Ci na szybki efekt bez przerywania pracy zawodowej!!! DO ZOBACZENIA
Przykłady sytuacji klinicznych i rozwiązań protetycznych:
1. Pacjentka lat 28 – korony pełnoceramiczne na dwójki i trójki górne.
1a. Przed leczeniem
1b. Gotowa praca
1c. Gotowe korony pełnoceramiczne
1d. Gotowe korony pełnoceramiczne – widok od strony wewnętrznej
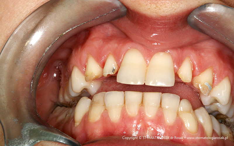
2. Pacjent z licznymi wypełnieniami (plombami), zgryzem głebokim, zaburzona estetyka i funkcja układu narządu żucia (diastema).
2a. Pacjentka przed leczeniem
2b. Gotowe mosty pełnoceramiczne na podbudowie cyrkonowej
2c. Gotowe mosty i korony pełnoceramiczne na podbudowie cyrkonowej
2d. Gotowa praca stała – korony pełnoceramiczne na podbudowie cyrkonowej
3. Pacjent z szeroką szparą (diastemą) pomiędzy jedynkami.
3a. Pacjent przed leczeniem
3b. Po leczeniu koronami pełnoceramicznymi pacjent rozważa to samo postępowanie w żuchwie
4. Pacjentka z nieestetycznymi wypełnieniami w odcinku przednim, z tzw. wysoką linią uśmiechu (bardzo widoczne dziąsła) – przed leczeniem.
4a. Pacjentka przed leczeniem
4b. Gotowe korony pełnoceramiczne na zębach przednich (od trójki do trójki)
4c. Widok od strony brzegów siecznych
Pacjentka lat 18 z wrodzonym brakiem wielu zębów tzw. hipodoncją – rehabilitacja protetyczna z wykorzystaniem stałych mostów porcelanowych na podbudowie metalowej.
5a. Stan przed leczeniem
5b. RTG panoramiczne
5c. Uzupełnienia tymczasowe na okres leczenia
5d. Próba struktury metalowej mostu porcelanowego górnego
5e. Gotowy most porcelanowy górny i próba struktury metalowej dolnej
5f. Gotowe mosty porcelanowe
Pacjentka lat 56 z zaawansowaną próchnicą zębów i rozległymi brakami zębowymi zgłosiła się celem usunięcia zniszczonych zębów i wykonania ruchomej protezy – wykonano kompleksowe leczenie zachowawcze i mosty porcelanowe z zastosowaniem systemu podparć szklanych ZX-27…dzięki temu wyeliminowano ruchomą protezę i zyskano komfortową pracę stałą.
6a. Sytuacja wyjściowa
6b. Stan uzębienia po oczyszczeniu próchnicy
6c. Wzmocnienie kanałów korzeniowych po leczeniu endodontycznym wkładami z włókien szklanych
6d. Odbudowa rdzeni koronowych
6e. Most porcelanowy wykonany z zastosowaniem nowoczesnego artykulatora
6f. Gotowy most porcelanowy z podparciami szklanymi ZX-27
6g. Gotowy most porcelanowy
6h. Pod ostatnim zębem widoczne podparcie szklane ZX-27
7. Pacjent lat 47 z utraconą jedynką górną.
7a. Stan przed leczeniem
7b. Gotowy most na modelu gipsowym
7c. Gotowy most porcelanowy na metalu
7d. Gotowy most porcelanowy – widok od strony wewnętrznej
7e. Gotowy most i pełny uśmiech
8. Pacjentka lat 61 – okrężny most porcelanowy.
8a. Przed leczeniem
8b. Gotowy most
8c. Gotowa praca w ustach pacjentki
9. Pacjent lat 57- zgłosił się celem usunięcia zniszczonych zębów i wykonania protez ruchomych całkowitych.
NIE USUNĘLIŚMY – ANI JEDNEGO ZĘBA!!!
9a. Przed leczeniem
9b. Gotowe korony i mosty porcelanowe na górze (trójkę górną prawą pacjent zażyczył sobie nie korygować) oraz w żuchwie tzw. czapeczki pokrywające oraz zatrzaski kulowe dla lepszego utrzymania protezy ruchomej dolnej
9c. Gotowa praca
10. Pacjentka 55 lat – zgłosiła się celem usunięcia ostatniego korzenia w żuchwie. Ze względu na rozległe zaniki wyrostka zębodołowego i dobry stan korzenia zęba wykonaliśmy leczenie zachowawcze i precyzyjny element retencyjny w postaci zatrzasku kulowego, który stabilizuje protezę. Założeniem, ze względu na duże obciążenie całą protezą 14-zębową, było utrzymanie pracy przez okres roku… przy bezzębiu każda próba zwiększenia stabilizacji jest na wagę złota, zwłaszcza w żuchwie (na dole), stąd rozwój implantoprotetyki – mocowanie protezy na implantowanych śrubach.
10a. Zatrzask kulowy na resztkowym korzeniu
10b. Zbliżenie zatrzasku kulowego
11. Ta sama pacjentka po okresie, bagatela, 3,5 roku. Tym razem ząb trzeba już było usunąć. Mieliśmy jednak do wykorzystania jeszcze zębodół po nim i dlatego też zrobiliśmy tzw. wkład dozębodołowy… proteza dalej ma zadowalającą stabilizację.
11a. Stan po usuniętym korzeniu zęba
11b. Widok strony dośluzówkowej protezy z zamontowanym już gotowym wkładem dozębodołowym
12. Pacjent zgłosił się celem usunięcia zniszczonego korzenia zęba jedynki. Zdecydowano się uratować korzeń !!!
12a. Pacjent przed leczeniem
12b. Zacementowano rusztowanie stanowiące podporę dla przyszłej korony tzw. wkład koronowo-korzeniowy
12c. Gotowy wkład koronowo-korzeniowy lany
12d. Gotowa korona porcelanowa na metalu













